网站首页
关于我们
公司简介
平台展示
组织架构
荣誉资质
知识产权
发展历程
企业文化
服务项目
绵阳测序分析服务
绵阳细胞生物学实验
绵阳分子生物学实验
绵阳动物学实验
绵阳组织病理学实验
绵阳临床前CRO
绵阳类器官技术服务
合作流程
新闻资讯
公司动态
行业资讯
专业知识
联系我们
025-87183621
网站首页
关于我们
公司简介
平台展示
组织架构
荣誉资质
知识产权
发展历程
企业文化
服务项目
绵阳测序分析服务
绵阳细胞生物学实验
绵阳分子生物学实验
绵阳动物学实验
绵阳组织病理学实验
绵阳临床前CRO
绵阳类器官技术服务
合作流程
新闻资讯
公司动态
行业资讯
专业知识
联系我们
公司动态
行业资讯
专业知识
首页
>>
新闻资讯
新闻资讯
公司动态
行业资讯
专业知识
切片质量参差不齐?我们总结了15个HE染色常见问题及解决方法
2025-11-24
HE染色,全称苏木精-伊红染色法(Hematoxylin and Eosin staining),是最常见的组织切片染色技术之一,用于在显微镜下观察和分析组织或细胞的结构和形态。虽然HE染色是最常···
超全干货!病理实验动物取材步骤注意事项(含不同脏器取材细节)
2025-11-21
在病理实验中,对不同部位组织进行取材是实验能够顺利进行的第一步,也是获得有效数据的关键。因此,本篇文章带大家了解病理实验动物【取材】的详细步骤及注意事项。一、取···
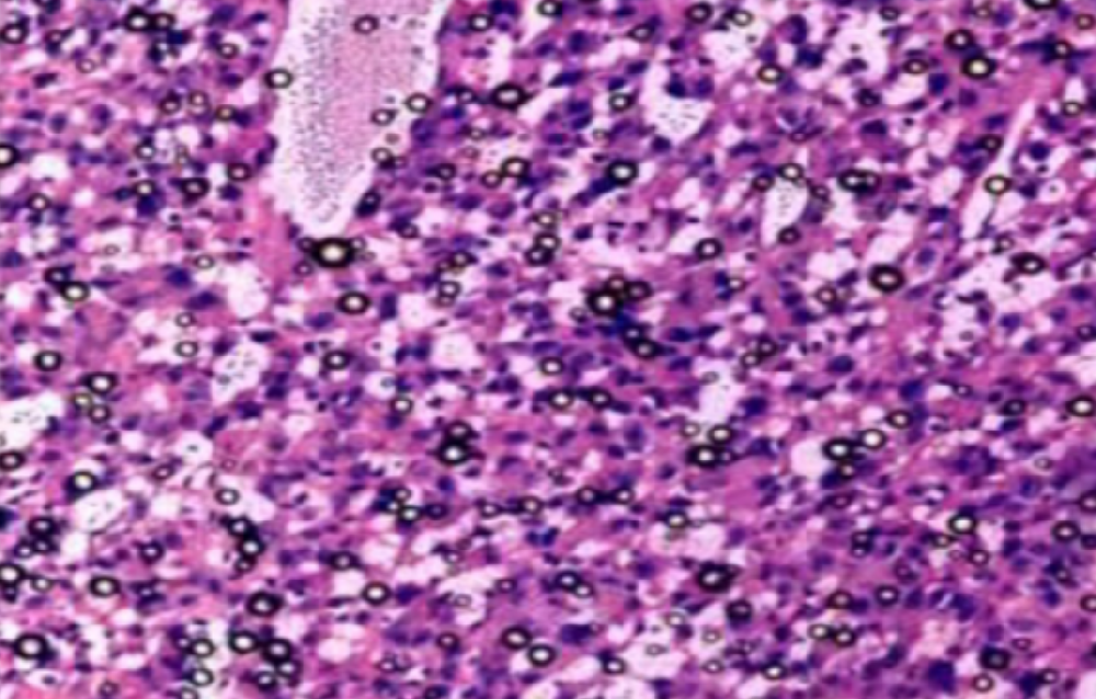
肾组织病理染色结果怎么看?超全攻略,建议码住
2025-11-19
肾是人体主要的排泄器官,以形成尿液的方式排出体内的代谢废物,对人体的水盐代谢和离子平衡起调节作用,参与维持机体内环境的相对稳定,此外,肾还分泌多种生物活性物质,···
人外周血PBMC的CD4+ T细胞磁珠分选及流式鉴定
2025-11-16
一、实验原理病毒空斑实验主要基于病毒的感染和复制机制,当单个病毒感染细胞后,由于固体培养基的限制,病毒裂解细胞释放只能向周围细胞扩散。经过几个复制周期,便形成一···
CCK-8实验步骤超全解析!手把手教学啦~
2025-11-14
一、实验原理CCK-8全称Cell Counting Kit-8,是一种基于WST-8的应用于细胞增殖和细胞毒性的快速、高灵敏度检测试剂盒。其工作原理为在电子耦合试剂存在的情况下,WST-8这一···
实验室菌株该如何保存?收藏这份超全面指南!
2025-11-11
一、实验室菌株保存的核心目标1.长期存活:维持菌种代谢停滞,减少遗传变异2.防止污染:杜绝杂菌入侵3.便捷取用:快速复活且性状稳定二、5大常见保存方法1.斜面低温保存···
首页
<<
1
2
3
4
5
···
3/63
>>
尾页
热门新闻
东极生物创新医药载体正式启用,开启科研新篇章!
2024-08-22
南京市六合区科技局领导视察东极生物 共绘创新发展蓝图
2025-05-27
东极集团 | 山东自贸区医疗健康产业园区
2025-01-16
分子实验PCR具有的优点和电泳缓冲液的选择
2025-12-15
动物实验中判断动物健康原则有这些
2025-12-12
实验外包——免疫学检测方法与免疫技术
2025-12-10
在线留言
Online message
姓名
电话
留言内容
提交信息
联系我们
Contact us
南京东极生物科技有限公司
扫一扫关注
地址:南京市六合区新港湾路166号协合智谷产业园16-3栋
电话:139-1599-6230 025-87183621
邮箱:sales@dj-cro.com
网址:http://mianyang.dj-cro.com
友情链接:
Copyright © 2023 南京东极生物科技有限公司版权所有 All Rights Reserved.
苏ICP备13041166号-5
XML地图
QQ
微博
首页
电话
返回顶部